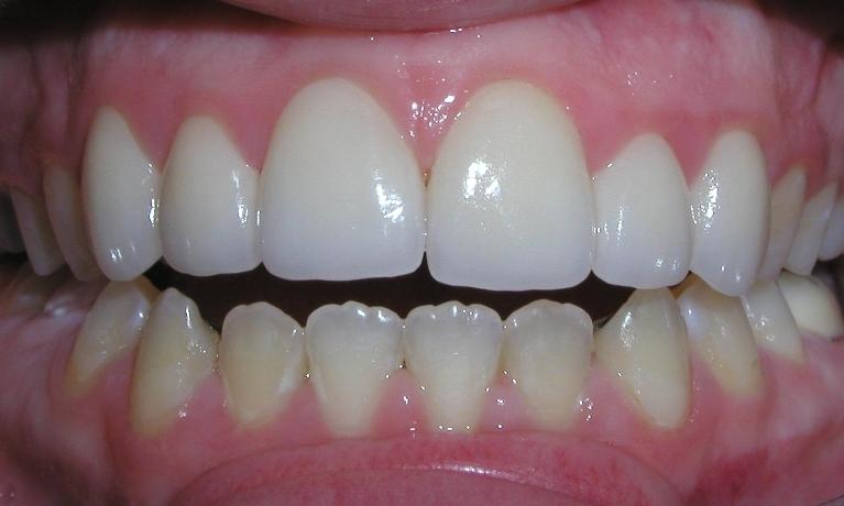
Zoom Whitening
With so many teeth whitening options available today, no one needs to live with stained or yellow teeth. If you are self-conscious about your smile because it isn’t as white and bright as it could be, we have great news! Now you can get that beautiful bright smile you’ve always dreamed of easily and safely in a little more than an hour.
At North Shore Center of Dental Health, we use the Zoom whitening system to whiten your smile by several shades in just one office visit.
How Long Will the Zoom Whitening Procedure Take?
When you come into our office for the Zoom whitening procedure, you can expect to be here for just over an hour. After we prepare you for the procedure, there is a whitening process that takes about 45 minutes. During the procedure, you will be able to relax by watching television or listening to music.
How Does Zoom Whitening Work?
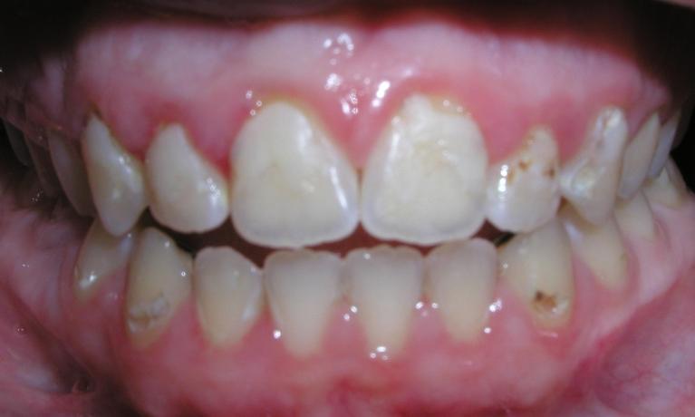
The Zoom treatment uses a powerful whitening gel that contains hydrogen peroxide. The peroxide causes a chemical reaction, breaking apart the carbon bonds that show up as stains on the teeth.
After treatment, you will walk out of our office with teeth that are up to 10 shades whiter than when you walked in.
Is Zoom Whitening Safe?
Yes, it is! Whitening your teeth under the supervision of a dental professional is the safest and most effective way to avoid gum irritation or damage to your enamel. Over-the-counter products can irritate the gums, especially if used improperly or too frequently.
How Long Do the Results Last?
With proper at-home care and regular check-ups, your results from Zoom whitening will last a long time. We will give you simple instructions to follow at home so you can enjoy Zoom whitening results for years to come.
How Do I Know if I Am a Good Candidate for the Zoom Procedure?
Just about everyone is a good candidate for whitening! You should be in good dental health and have had a professional cleaning and exam within the past six months.
Call North Shore Center of Dental Health today to find out more about Zoom whitening and see why it is the number one most patient-requested professional whitening brand on the market.
Frequently Asked Questions
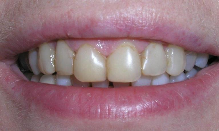
Teeth whitening is generally considered one of the most affordable and common of all the cosmetic dentistry procedures. In-office teeth whitening is quick and easy, leaving patients with teeth several shades lighter in just one visit. Results are long-lasting because in-office whitening systems use high levels of hydrogen peroxide. From start to finish, the entire procedure only takes an hour, but the results are dramatic.
Meet Our Doctors:
Dr. Chris Baboulas
General Dentist
Dr. Chris Baboulas is a 1986 graduate of Loyola University School of Dentistry. With nearly four decades of experience, he focuses on family and cosmetic dentistry, implants, and full mouth ...
Dr. Bruce Abdullah
Periodontist
Dr. Bruce Abdullah is a board-certified Periodontist and Diplomate of the Academy of Periodontology. He earned his dental degree from Loyola University and completed his specialty training in Periodontics and ...
Dr Ben Youel
Dr. Ben grew up in northern Illinois and graduated Summa Cum Laude from North Central College with a degree in Chemistry. He earned his Doctor of Dental Surgery from the University ...